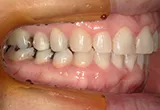
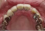
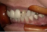
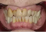
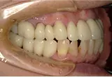
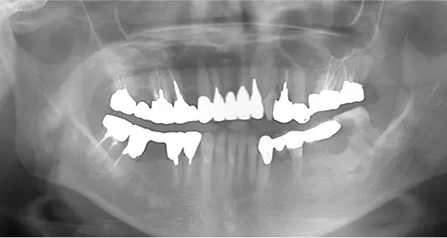
CASE











| 年齢/性別 | 40代女性 |
| 主訴 | 右上の詰め物が取れた |
| 治療内容 | 歯周病とむし歯の治療を目的に来院。左下の奥歯は根の状態が悪く、病変も大きかったため保存が困難と判断。 インプラント治療を実施しました。 |
| 治療期間 | 4か月 |
| 費用 | 566,500円税込 |
| リスク・副作用 | 炎症反応によって術後に腫れが生じることがあります。その程度は、手術の範囲や方法によって異なりますが、多くの場合、時間の経過とともに徐々に治まります。 ごく稀に、下顎奥歯の外科手術後に、唇や顎に痺れを感じることがあります。 |










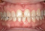
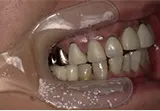
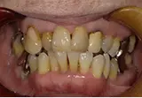
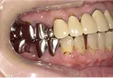
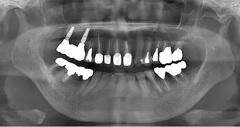
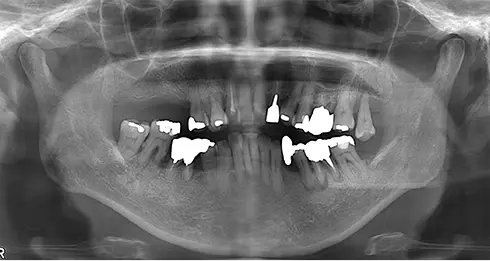
| 年齢/性別 | 60代女性 |
| 主訴 | 前歯が前に出てきた |
| 治療内容 | 全体的に歯周病やむし歯、根の治療(ヘミセクション)を実施。右上の歯にはサイナスリフト術を行い、骨の回復を待った後、半年後に2本のインプラントを埋入しました。 |
| 治療期間 | 9か月 |
| 費用 | 1,298,000円税込 |
| リスク・副作用 | 炎症反応によって術後に腫れや副鼻腔炎が生じることがあります。その程度は、手術の範囲や方法によって異なりますが、多くの場合、時間の経過とともに徐々に治まります。
ごく稀に、下顎奥歯の外科手術後に、唇や顎に痺れを感じることがあります。 |










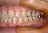
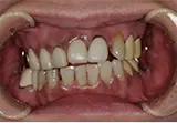
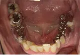
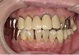
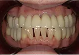
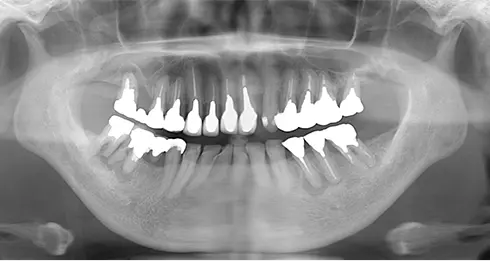
| 年齢/性別 | 70代女性 |
| 主訴 | 左下奥歯に痛みがある、全体的に治したい |
| 治療内容 | 全体的に歯周病やむし歯、根の治療を行い、仮歯を使用して咬合治療を実施。左上、右下、左下の計3本を抜歯し、右上には2本のインプラントを埋入しました。 |
| 治療期間 | 4か月(インプラントのみ) |
| 費用 | 1,116,500円税込 |
| リスク・副作用 | 炎症反応によって術後に腫れや副鼻腔炎が生じることがあります。その程度は、手術の範囲や方法によって異なりますが、多くの場合、時間の経過とともに徐々に治まります。 |










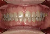
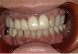
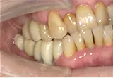
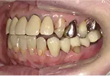
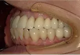
| 年齢/性別 | 50代女性 |
| 主訴 | 左下奥歯に痛みがある、全体的に治したい |
| 治療内容 | 全体的に歯周病やむし歯、根の治療を行い、仮歯を使用して咬合治療を実施。右下2本、左下1本の計3本を抜歯し、その後、右下に2本、左下に2本の計4本のインプラントを埋入しました。 |
| 治療期間 | 8か月 |
| 費用 | 2,106,500円税込 |
| リスク・副作用 | 炎症反応によって術後に腫れが生じることがあります。その程度は、手術の範囲や方法によって異なりますが、多くの場合、時間の経過とともに徐々に治まります。 ごく稀に、下顎奥歯の外科手術後に、唇や顎に痺れを感じることがあります。 |